权威认定!科久盛制片染色一体机获评安徽省首台套重大技术装备

近日,安徽省工业和信息化厅正式发布《2025年度安徽省首台套重大技术装备名单》,合肥科久盛生物医药有限公司自主研发的“制片染色一体机”成功入选。这一认定标志着企业在高端医疗装备自主创新领域取得重要突破,也体现了政府及行业对公司技术实力与产业化能力的高度认可。

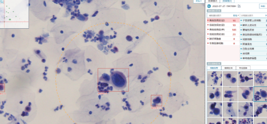
此次入选的制片染色一体机,核心创新在于独创的“双模圈”设计。该技术可在同一张载玻片上同步完成巴氏染色(形态学分析)与FSC酶染(分子功能学标记),通过双重验证机制显著提升宫颈癌筛查的准确性。配套研发的AI辅助诊断系统基于深度学习与TBS分级标准,可将病理医生阅片效率提升四倍以上,有力推动了标准化筛查流程向基层医疗机构延伸,为落实国家《加速消除宫颈癌行动计划(2023-2030)》提供了技术支撑。

目前,该系列产品已通过中国医科大学附属医院等权威机构临床验证,诊断符合率达98.5%,累计服务全国数百万人次,在提高筛查效率、降低医疗成本的同时,为早诊早治赢得了宝贵时间,创造了显著的社会效益与经济效益。